Ressonância Magnética
Equipamento de alto desempenho e fácil manejo que não utiliza radiação e permite coletar imagens de alta precisão e detalhamento anatômico dos órgãos do corpo humano.
Tomografia
A tomografia computadorizada Multslice representa o mais recente avanço na área da medicina diagnóstica que revolucionou o modo pelo qual inúmeras doenças são abordadas.
Ultrassonografia
A ultrassonografia é um método inócuo e relativamente barato de produzir em tempo real imagens em movimento das estruturas e órgãos do interior do corpo.
Densitometria Óssea
A Densitometria Óssea utiliza uma dose muito pequena de radiação ionizante para produzir imagens e medir a densidade óssea, usualmente são feitas imagens da coluna lombar e do quadril.
Mamografia
É uma radiografia realizada com equipamento exclusivo para estudo das mamas. A mamografia é o melhor exame para detectar precocemente o câncer de mama mesmo antes que o paciente ou o médico possam notar qualquer alteração.
Radiografia
Esse método de diagnóstico utiliza os Raios-X. A digitalização reduz consideravelmente o tempo de exposição e a dose de radiação, e nos proporciona imagem de qualidade muito superior, às obtidas pelo método convencional.
Doppler Vascular
O Doppler é uma das modalidades da ultrassonografia que fornece imagens dinâmicas, em tempo real, da rede vascular e do fluxo sanguíneo de diversas partes do corpo, sem usar nenhuma radiação e sem apresentar efeitos colaterais.
Blog
Acompanhe as novidades.
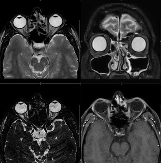
Ressonância magnética de órbitas: quando é indicada e o que o exame pode diagnosticar
A ressonância magnética de órbitas é um exame essencial em caso de dor ocular e outras doenças das estruturas da cavidade orbital.
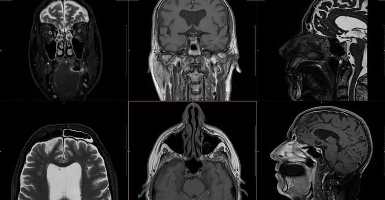
Ressonância magnética da face: exame preciso para detectar tumores na faringe e glândulas salivares
A ressonância magnética da face é um exame de imagem de alta resolução, utilizado para avaliar estruturas complexas da região facial.
Ressonância magnética: o melhor exame para diagnosticar dores nas articulações
Indolor, não invasivo e muito seguro, o exame de ressonância magnética se destaca como o exame mais completo para avaliar as articulações.
Como a ressonância magnética ajuda no diagnóstico e acompanhamento do câncer?
A ressonância magnética permite determinar tamanho do tumor, relação com outros órgãos ou tecidos e traz uma precisão crucial ao tratamento.
A radiologia na detecção do câncer: uma visão detalhada
Entenda as diferenças entre os tipos de exames de imagem e como poder ser crucial a radiologia na detecção do câncer.
Radiologia: conheça essa especialidade e sua importância na medicina
A radiologia tem importância significativa porque envolve técnicas de imagem que trazem uma visão detalhada do interior do corpo humano.












